안녕하세요
간경화로 진행되다가 간암이라고 진행이 되어서 가족의 건강관리와 의학지식을 공부하는 차원에서 정리를 해 봤습니다
간암을 치료하는 방법에서 간암이 하나 있고, 병기가 1병기 일 때 우선적으로 하는 방법이 간절제술입니다.
암을 제거한다고 해도 간암은 대게 병이 있는 간에서 생기기 때문에 남은 간이 건강하지 못합니다.
5년 재발율이 50%정도라고 합니다. 완치를 시켰다고 하더라도 추적관찰이 필요한 이유입니다
간절제술 이후 재발이 된 이후는 추가적으로 다른 치료법으로 합니다.
이 간절제술에 버금가는 시행되는 치료법은 고주파열치료술입니다. 이번에 저희 가중중에 한 분이 이 시술로 했답니다.
이 비수술적 방법으로 간암을 완치할 수 있는 방법이 있다는 사실에 놀라고 감사하기도 했습니다.
이 방법은 특수하게 고안된 고주파 발생하는 침인데, 이 침은 전자렌지랑 비슷한 이치입니다.
전자레인지에 음식을 놓으면 고기가 익는 것처럼, 고주파 바늘을 그 간에다가 관통을 시켜서 그 암과 그주위만 다 익혀버리는 것입니다. 그렇게 그 암을 죽이는 것입니다. 또한 이 방법은 국소치료의 성공률은 95%이상이라고 합니다.
그리고 간암의 종양의 크기에 따라 여러가지 방법이 많이 있습니다.
그리고 간암을 치료하는 것이 아주 많다는 사실도 이번에 알았습니다
어떤 병원은 고주파열치료술과 극초단파열치료술을 하는 병원도 있고, 색전술로 하는 병원도 있고, 더 나아가
항암색전술, 방사선 색전술, 방사선 치료, 항암치료, 그리고 비싸지만 양성자치료, 중성자 치료 방법도 있다고 합니다.
(현재 중성자 치료는 서울에 연세암병원에서는 7천만원에서~7500만원에 한다고 합니다.)
고주파열치료술과 극초단파열치료술의 차이점은 뜨거운 열을 내서 치료하는 것은 같은 원리인데, 열을 내는 메커니즘이 다른 치료 방법이며, 고주파 열치료가 가장 많이 사용되고 최근에 새롭게 되는 게 극초단파열치료술입니다.
극초단파열치료술은 시술이 짧고 강력하게 열이 나고 바늘이 좀 굵다는 차이가 있습니다.
어떤 병원은 간암인 병변을 얼려서 즉 차갑게 해서 치료하는 방법도 있습니다. 냉동치료의 장점은 통증이 덜하다는 장점이 있습니다. 단점은 냉동치료는 보험이 안되고 비용이 비싸다는게 있습니다.
그럼 고주파열치료술에 대해 설명 드립니다
간암이 되면 모든 보험이 적용되고 암으로 진행이 되면 저렴하게 이 시술을 할 수 있습니다.
이것은 조기 간암에 대해서 완치를 목표로 하고 있으며, 조건은 병변이 3cm이내이고, 3개 이내일 때만 할 수 있다고 합니다
이것보다 병변이 많거나 그럴 때는 이것과 함께 다른 치료방법도 함께 진행을 해야 합니다.
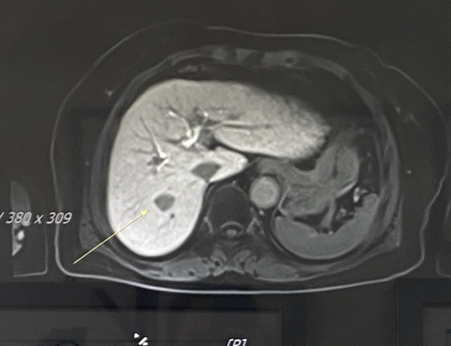
저희 어머니는 1개의 병변이 있었고 1.6m로 작았습니다. 그래서 이방법으로 시술을 했습니다.
간암을 완치라는 말을 할 수 있는 것은 이 고주파열치료술과 극초단파열치료술이 유일하다고 합니다.
또한 수술시간이 짧은 것이 장점인거 같습니다.
그리고 국소마치와 진통제를 통해 수술을 합니다. 전신마취를 하지 않고 것도 장점입니다. 국소마치가 잘 되지 않으면 약간 재우는 형태, (간호사 선생님 말로는 위내시경할때 반수면상태를 만드는 정도로)로 진행을 할 수 도 있다고 합니다.
먼저 진행방법은 시술 전날에 조형제를 넣어서 병변의 위치가 어떤지, 담낭이나 다른 장기와 잘 분리되어서 그 곳만 바늘을 넣어서 잘되는지 체크를 먼저합니다. 그리고 그 다음날 아침에 본 시술을 합니다.

위의 화살표의 표시된 부분이 1.6cm병번입니다.
그리고 통증은 어느정도 있는지가 제일 궁금했었는데요
실제 시술을 하신 어머니의 말씀을 들어보면, 통증은 거의 없었고, 어머니가 수면내시경할 때의 느낌처럼 기억이 잠시 났다가 사라졌다가 가물가물했다고 합니다. 처음 누워서 눈이 말똥말똥 떠 있으니까 시술하는 선생님이 눈을 감고 잠을 자시면 됩니다 라고 말하기도 했다고 합니다. 그래서 잠시만 잠을 자도록 무슨 수액을 넣은것도 같다고 합니다.
진행 중에 깻는지 우측 시술하는 부분에서 뭔가 윙~~~하는 소리가 들리기도 했다고 합니다. 통증은 못느꼇다고 합니다
이 시술이 마치고 깨어나는 것도 잘 깨어났고, 수술을 마치고 문앞에서 어머니의 눈동자도 떠서 우리를 확인했답니다.
PET-CT검사도 했고 다행이 전이는 안되었습니다.
이 검사는 어디까지 암이 전이가 되었는지 알 수 있는 방법이며 실제 암이 되는 부분에서 밝게 표시가 됩니다.
저희 어머니는 간의 그 부위에 밝게 나타나지 않았습니다. 즉 암이라도 pet-ct에서 밝게 나타나지 않는 경우도 있답니다.
부작용은 몸에 장기에 변화는 주는 시술이기 때문에 변화는 없을 수는 없지만,
일부 중에 구역질, 구토, 어깨통증, 발열 등은 있을 수 있고 하루나 이틀 정도 있으면 퇴원할 수 있는 정도입니다.
현재 이글을 쓰는 날은 시술 당일이고 현재는 아침에 수술했고, 저녁에 식사까지 잘했고 걸어도 다닐 정도입니다.
그래서 어떤 부작용이 더 있을지는 지켜봐야 한답니다. 참고하십시요.
또 부작용에 대해서 들은 부분을 말씀 드리면,
시술한 사람 중에 5%정도의 사람에겐 간에 농양이나 복강안에 출혈이 생긴다든지, 기흉, 배 안에 열에 취약한 장기들이 장이 구멍이 난다든지, 종양이 전파가 되고, 전이가 생기거나 그런 경우도 있을 수 있다고 합니다.
가장 중요한 것은 간이라는 것은 위암,대장암, 당낭암과 달리 없어도 사는 것이고 떼어내도 살수 잇는 장기지만
간은 없어지면 안되는 거라 중요하고, 간경변을 앓고 있다는 것은 잡초가 자라나기 위한 비옥한 토양이나 마찬가지입니다.
그래서 다른 장기의 제거와 의미가 다른 것 같습니다.
하여튼 간암 생겼다고 불안해 하시거나 마음 고생하지 말고
병원에 오면 여러 방법이 있기 때문에 안심하시고 병원에 와서 치료를 하면 된다고 말하고 싶네요
결론적으로 간암치료를 할 수 있다는 것은, 고주파열치료술로 할 수 있다는 것은
그 암은 완전히 없앨 수 있기 때문이라서 긍정적으로 생각해도 된다는 것입니다.
물론 간암은 언제든지 재발의 확률은 있습니다.
읽어주셔서 감사합니다
| 간경화에서 간암으로 진행되지 않고 평생 안전하게 사는 방법 (0) | 2025.11.15 |
|---|---|
| 담석이 생기는 원인과 담낭의 기능에 대해 모두 정리 (1) | 2025.07.22 |
| 약수물을 먹고 과민성대장증후근에 걸린 어머니! 약수물 보관기간! (0) | 2025.03.24 |
| 어묵 오댕 구매시 주의사항 - 어육함량 꼭 체크 (0) | 2025.02.19 |
| 주부 폐암을 부르는 락스와 과탄산소다 사용 방법 (0) | 2024.10.27 |
| 트럼프가 드디어^^ 美 FDA "한국산 코로나19 진단 키트 긴급 승인" (0) | 2020.03.28 |
| 면역력을 키워주는 8가지 음식 (0) | 2017.01.30 |